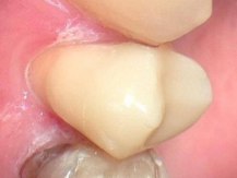
Impronte digitali,intarsi e corone, senza la noiosa "pasta "

Nel nostro studio,nel 2012,e'stato installato il sistema cad\cam che permette di rilevare le impronte con un sistema ottico,quindi senza la noiosa "pasta " in bocca.
Inoltre e' possibile
progettare e realizzare immediatamente il manufatto e quindi mandare il paziente a casa con una corona,una faccetta,un intarsio dopo una permanenza in studio di circa due ore.