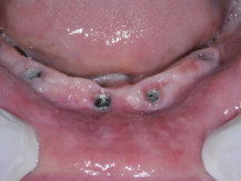
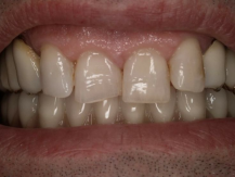
Protesi su impianti soltanto con euro 4000,00

Con soli € 5000, (o € 4000) si possono avere 12 denti fissi su impianti,
TAC compresa,
con sedazione cosciente e ANESTESISTA se occorre,
in 24 ore.
Rate da euro 82 mensili.( COMPASS )

Oggi è possibile
presso lo
Studio dentistico DI DINO GIALDINI
0572951175.
PREVENTIVO GRATUITO